没有提示信息
信息来源:第一健康 阅读 (486) 2022-12-29
有一种疾病,发作的瞬间让人尊严全失
口歪眼斜、四肢麻木、甚至瘫痪……
“铁娘子”撒切尔夫人、二战三巨头斯大林、罗斯福、丘吉尔都因它离世,这便是「中风」,也就是脑卒中。

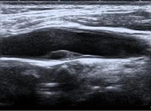
颈动脉血管示意图




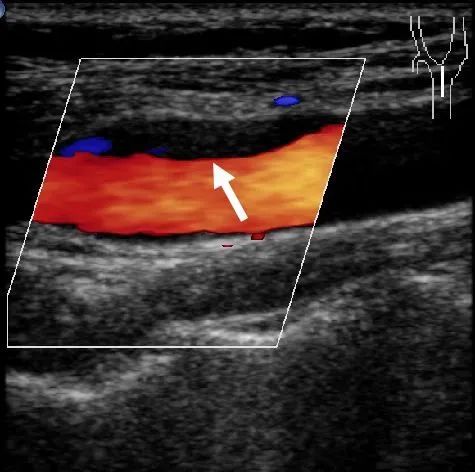
颈动脉斑块 超声示意图
颈动脉超声是诊断和评价颈动脉壁疾病的有效方法之一。检查的目的是判断有无血管壁增厚,硬化或狭窄等。正常颈动脉血管内中膜无增厚、无斑块形成,血管不狭窄,无闭塞。
颈动脉彩超不仅能清晰显示血管内中膜增厚、有无斑块形成、斑块形成的部位、大小、是否有血管狭窄及狭窄程度、有无闭塞等详细情况,并能进行准确的测量及定位,还能对检测动脉血流速度及阻力进行测量。特别是可检测早期颈动脉粥样硬化病变的存在,使患者得到及时预防。
《中国健康体检人群颈动脉超声检查规范》指出,颈动脉超声检查应包括以下人群:
①高血压、冠心病、卒中和糖尿病风险人群;
②吸烟、超重、肥胖等高风险人群;
③心血管综合风险评估为中度风险以上人群;
④其他中年及中年以上适宜人群。
在就诊的患者中,如有以下临床症状或一项及以上危险因素者,也建议进行颈动脉超声筛查:
①临床症状:体位性眩晕、头晕、眩晕、肢体麻木等脑缺血症状;
②危险因素:高血压、吸烟、年龄、糖尿病、高胆固醇血症等。


如果有上述三种情况之一者,可立刻拨打急救电话120。

