没有提示信息
信息来源:第一健康 阅读 (450) 2023-01-09
76岁老人感染新冠无发热症状
一周后竟肺部全白
很多老人送医时已出现“沉默性缺氧”
……
在这个就医高峰的寒冬
“白肺”逐渐成为众人议论的热词
频频登上微博热搜

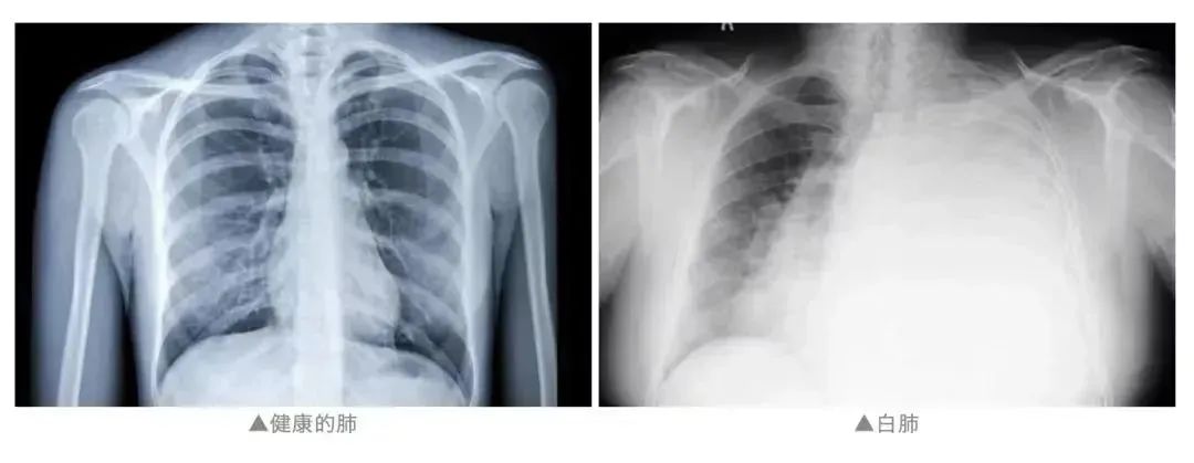
“白肺”也叫急性呼吸窘迫综合征(ARDS).健康的肺是由通气功能正常的肺泡组成,这样的肺泡充满了空气,在 X 光和 CT 上都是透光的,并且显示为「黑色」。

但如果肺部有严重的疾病,比如肺炎或者肺部肿瘤,或者有大量的积液,让健康的肺泡组织被破坏。肺里的密度增高,透光性变差,这时在 X 光和 CT 上就表现为一种烟雾笼罩的「白色」。随着肺部受到破坏的部分越来越多,白色的范围会逐渐扩大。
当白色覆盖到至少一半的肺(也有说法大致认为白色面积达到 70%~80%)时,通常就被叫做「白肺」。也就说,当「白肺」出现,可能代表着肺部问题已经比较严重了。

7类人群建议做肺部检查



1、感染新冠后,久咳不愈
2、连续发烧38.5度以上超过3天人群
3、持续低烧症状人群
4、出现胸闷、呼吸困难、咳血等症状人群
5、指脉氧持续低于90%的人群
6、有基础病的人群
7、感染新冠后的,警惕高龄老人的“沉默性低氧”(没有表现出呼吸困难的症状,但是双肺已经损伤,身体组织已经缺氧)

什么时候需要CT 排查肺炎


高热不退,比如持续 5 天,还在 39℃ 以上;
呼吸急促,一分钟到 30 次(正常成人一分钟呼吸在 20 次以下);或者体温恢复正常 1~2 天,突然又出现了 39℃ 以上的高热,伴有呼吸急促;
反复咳嗽,不缓解;
严重乏力,精神状态很差,一天不如一天,或不见好转;
血氧饱和度仪检测,血氧饱和度低于 93%(老年人血氧低于 95% 需多加观察)
特别要当心的是,体温数字不是病情轻重的硬性标准,尤其是老年人,基础体温通常偏低,感染后可能不发烧或仅轻微低烧,并不代表情况良好。
如果老人感染后血氧出现下降(相比日常数值下降超过 5),或者有憋气、胸闷的情况,一定要警惕。




胸部CT则以5毫米为一层的断面,精准展现患者的肺部影像,就连软组织、骨骼场都能看得一清二楚,细微病灶也不会漏诊。在高分辨率的大尺寸屏幕上分析患者CT,即使是较小的磨玻璃样结节,都逃不过胸部CT的慧眼。
肺部CT报告解读
要关注以下几个关键名词:
新冠肺炎患者CT影像特征根据病情进展情况呈动态变化:
呈现多发小斑片、亚段或节段性磨玻璃影,以肺外带及背侧分布为主;多伴有小叶间隔增厚;
进展期
病灶增多,范围扩大,实变影增多,磨玻璃影与实变影或条索影共存,有时会出现“铺路石征”;
重症期
双肺弥漫性病变,少数呈“白肺”表现,实变影为主,合并磨玻璃影,多伴条索影,支气管充气征;
消散期
病变范围缩小,密度降低,肺实变灶逐渐消失,部分残留条索影。
高分辨CT影像能将肺部细微病变状况排查出来。
新冠肺炎并不是什么“大号流感”
即便“症状较轻”也千万不能轻视
不要以为新冠只是单纯感冒
上呼吸道感染如果不及时治疗
会进展肺部,也会出现阴影
我们每一个人都是第一健康负责人


