没有提示信息
信息来源:第一健康 阅读 (306) 2023-06-30
口腔健康,预防大于治疗。
定期检查,排除口腔隐患对自身的健康是相当重要的,牙病早发现早治疗,省钱又省心。
看牙贵看牙难?别等到牙病问题严重了,才后悔没有定期做好口腔检查。

01.了解牙齿情况

全面的口腔检查可以了解牙齿各项情况,获取专业的口腔健康指导、科学的治疗建议,有利于维持口腔健康。
02.早发现、早诊断、早治疗
牙齿没有自愈能力,牙病越拖疼痛感越重,治疗花费的时间、费用、就诊次数都会增加,可能还会保不住这颗牙齿。

03.有可能发现全身性疾病
口腔是全身健康的一面镜子,很多全身性疾病的早期在口腔都有所表现。比如,糖尿病患者免疫防御功能降低,唾液分泌减少,易引起牙周炎。

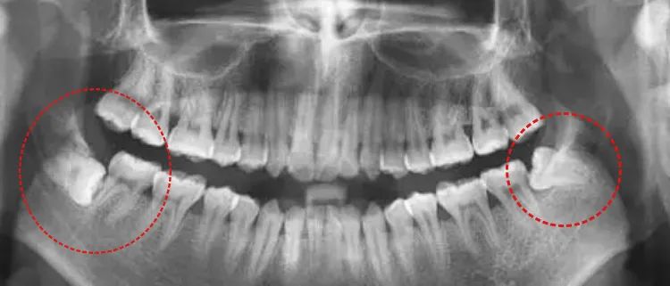
非常有必要!!!不拍片都不知道自己的牙齿真正的面貌。
比如长得奇奇怪怪的智齿。判断智齿有无危害邻牙、确认离神经管的距离、判断其准确位置,方便更好处理。

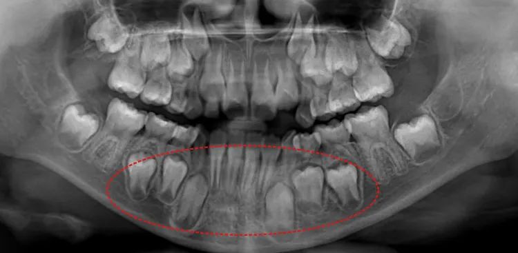
比如有的牙齿表面没事,却偷偷烂到牙神经。拍片可以确认龋坏程度,并对症治疗。
比如观察儿童牙齿的生长情况。如发现埋伏牙、多生牙、阻生牙等异常情况可以及时处理,避免恒牙萌出后长得“七扭八歪”,影响颜面发育。


一般来说至少每年进行1次,但不同年龄的人有不同层次的口腔检查需求。
孕期由于体内激素改变、免疫力降低等因素影响,容易引起牙齿、牙龈病变的发生,如果在怀孕期间发生口腔急症,治疗不便还有风险。
建议在备孕期间进行一次系统的口腔检查,如有口腔问题及早治疗,消除健康隐患。
周期:每3-6个月/次
检查牙齿萌出数量、牙龈及口腔软组织健康状态、有无蛀牙;还要进一步检查牙列、咬合、颜面发育等情况,早期干预错颌畸形,引导牙齿、颌骨、颜面正常发育。
周期:每年1-2次
检查有无蛀牙;观察智齿的发育情况;重点关注咬合关系是否正常,以及牙齿排列关系,有无错颌畸形,如发现可尽早正畸干预。
周期:至少每年1次
蛀牙和牙周病是成年人“早掉牙”的主要原因。
侧重检查蛀牙、牙龈出血/肿胀、口腔异味等情况,还要定期清理菌斑牙石,及时修复蛀牙、缺牙,避免坏牙带来一系列的健康隐患。
周期:6个月/次
随着年龄增长,抵抗力下降,口腔自我修复能力减弱,往往多种口腔疾病同时存在,且发展变化快,建议定期半年检查一次。
检查根面龋、牙周病、口腔黏膜病、残留牙根、缺失牙咬合等情况。

